목차
유방 (Breast)
아래는 성적건강에 관련된 의학적 지식을 담고 있다. 이 문서는 사회통념으로 볼 때 19세미만에게 적합하지 않은 내용이므로 성인만 보길 권한다. 문서를 보는 건 당신의 선택이지만, 당신에게 당황, 걱정, 죄책감 등의 정서적 충격을 줄 수 있다.
이 문서는 의학지식을 포함하고 있습니다. 의학은 빠르게 변화하는 학문으로 아래의 내용은 최신의 정보가 아닐 수 있으며, 따라서 글을 읽는 시점에는 정확한 내용이 아닐 수 있습니다. 이 내용에 따라 스스로 질병을 진단하거나 치료하려 하지 마십시오. 질병의 정확한 진단과 치료를 위해서는 의사의 진료가 필수적입니다. 이 내용은 의학적 상식을 넓히기 위한 용도로 사용하십시오.
BI-RADS Assessment Category
| 등급 | 설명 | 악성도 | 추적관찰 |
|---|---|---|---|
| 0 | Incomplete | 불충분 | 추가검사 혹은 이전 검사와 비교 후 재평가 |
| 1 | Negative | 음성 0% | 유방촬영술 매년(40세 이상) |
| 2 | Benign finding(s) | 양성 0% | 유방촬영술 매년(40세 이상) |
| 3 | Probably benign | 악성 ≤ 2% | 6개월후 재검(2년간) |
| 4 (a,b,c) | Suspicious abnormality | 악성 >2% <95% a: >2%, ≤10% b: >10%, ≤50% c: >50%, <95% | 조직검사 |
| 5 | Highly suggestive of malignancy | 악성이 강력히 의심됨 ≥95% | 조직검사 |
| 6 | Known biopsy-proven malignancy | 조직검사를 통해 악성이 확인됨 |
| 등급 | 비정상의 가능성 |
|---|---|
| 1 | 낮음 |
| 2 | |
| 3 | |
| 6 | |
| 0 | |
| 4 | |
| 5 | 높음 |
Bi-Rads Breast Composition Categories
- 1: Almost entirely fat
- 2: Scattered fibroglandular densities
- 3: Heterogeneously dense
- 4: Extremely dense
Diagnostic modality
Mammography
Mammography is not generally considered as an effective screening technique for women less than 50 years old. A systematic review by the American College of Physicians concluded that, for women 40 to 49 years of age, the risks of mammography outweighed the benefits,[8] and the US Preventive Services Task Force says that the evidence in favor of routine screening of women under the age of 50 is "weak".[7] Part of the difficulty in interpreting mammograms in younger women stems from breast density. Radiographically, a dense breast has a preponderance of glandular tissue, and younger age or estrogen hormone replacement therapy contribute to mammographic breast density. After menopause, the breast glandular tissue gradually is replaced by fatty tissue, making mammographic interpretation much more accurate. Some authors speculate that part of the contribution of estrogen Hormone replacement therapy to breast cancer mortality arises from the issue of increased mammographic breast density.
Ultrasound
유방초음파 비침습적이고 방사능유출이 없다는 장점때문에 임신부 혹은 35세이하의 여성에서도 유용하게 사용될 수 있다.
양성질환
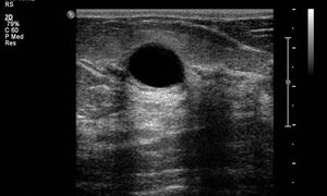
- Simple Cyst: Meets 4 criteria (round or ovoid, thin smooth walls, absence of internal echoes, posterior acoustic enhancement)
- Complex Cyst: Does not meet all 4 criteria for simple cyst
- Fibroadenoma: Well defined borders and internal echoes, with displacement of tissue planes
악성 소견
- Poorly defined borders
- Irregular or broad acoustic shadowing and heterogenous internal echoes
- Disruption of tissue layers
- Depth > Height
유방은 분비샘 조직과 지지조직으로 구성되어 있다. 유선과 유관이 분비샘조직을 형성하고, 지방과 섬유조직이 지지조직을 구성한다. 이 모든 조직이 변화를 일으켜 질병을 일으키고 증상이 나타나도록할 수 있다.
Benign disease
낭종, 섬유선종, 섬유낭종성 변화, 감염, 염증은 양성질환에 속한다.
생리주기나, 임신, 나이에 따라 유방암과 비슷한 멍울이나 변화가 생길 수 있다. 대부분의 이러한 변화는 양성이므로, 근심을 없애주기 위해, 이러한 병변과 암과의 차이점을 걸러내어 주는 것이 중요하다.
Nipple discharge
- Induced or Stimulated: 대부분 별일없다.
- Spontaneous: 평가가 필요하다. 4-10%에서 악성
Serum prolactin, TSH (hypothyroidism)
phenothiazine, OCs, 돔페리돈, 레보설피라이드, 파모티딘, 라니티딘, 시메티딘(cimetidine, 십이지장 궤양 치료제, 제산제), 메틸도파(methyldopa, 혈압 강하제), 일부 항정신병 약제, 한약제 중 감초
섬유선종
Fibroadenoma
섬유선종은 가장 흔한 양성종양이며, 대개 지지조직이 과다 증식하여 생긴다. 암으로 변하지 않는다. 암으로 변형될 확률은 약 1/10,000 정도로 알려져 있다.
일반적으로 젊은 여성에서 (10대~30대) 많이 보이며, 만져지거나 혹은 만져지지 않을 수도 있고, 둥근형태, 말랑말랑한 누르는대로 움직이는 형태이다.
대개 하나씩 생기며, 1cm미만에서 15cm정도로 크게 나타나는 경우도 있다. 10-15%에서는 다발성으로 양측에 나타날 수 있다.
대게 통증이 없고, 생리주기에 따라 변화하며, 임신중에 크기가 증가하고, 폐경 후에는 감소하는 양상을 보인다.
30세 이전에는 유방초음파로 검사를 하고, 30세 이후에는 초음파와 유방촬영을 하게 된다.
초음파에서 경계가 명확하고, 균질하며, 둥글고, 저에코의 병변 (Circumscribed, homogeneous, oval, hypoechoic masses) 이며, 가끔 몇개의 부분으로 나뉘어 있거나, 부드럽고 얇고 고에코의 껍데기가 있다. ( gentle lobulations and a smooth, thin, echogenic capsule)
확진은 조직검사(FNA)로 이루어진다. 섬유선종으로 확인되면 환자의 의향과 병변의 상태에 따라 수술을 하게될 수도 있고, 경과관찰을 할 수도 있다.
대개 50%의 섬유선종은 5년이내에 저절로 없어지므로, 꼭 제거하지 않아도 되며, "관찰하면서 기다리는 방법"이 적당하다.
섬유낭종성변화
(Fibrocystic breast disease; FBD; Fibrocystic Changes; FCC)
섬유낭종성변화는 정상적인 유방의 변화로 간주되며, 생리주기와 관련되어 있다.
자유롭게 움직이는 여러개의 덩어리로 보이며, 누르면 통증을 유발한다. "울퉁불퉁(lumpy and bumpy)"하다.. 라고 표현된다.
정확한 발생원이는 모르지만, 에스트로겐 (Estrogen), 황체홀몬 (Progesterone), 프로락틴 (prolactin) 같은 주기적 홀몬의 변화와 관련되어 있다. 대개 생리전에 증상이 심해지고, 생리가 시작되면 증상이 완화된다.
폐경 후의 여성에서는 드물게 나타나고, 여성 홀몬 치료 (Hormon replacement therapy; HRT)를 하고 있다면, 나타날 수 있다.
자세한 병력청취와 촉진, 월경주기변화와의 연관성등을 특징으로 진단할 수 있으며, 유방촬영과, 유방초음파도 유용할 수 있다. 임상적으로 진단할 수 있지만, 조직검사(FNA or excisional biopsy)로 확진할 수 있다.
치료는 안심할 수 있도록 해주는 친절한 설명과 통증을 줄여주는 진통제이다.
유방낭종
(Benign breast cyst)
유방낭종은 섬유낭종성변화와 본질적으로 비슷하지만, 모양이 낭종 형태라는 점에서 차이가 있다. 역시 생리주기에 따른 변화를 보이며 에스트로겐 (Estrogen)의 영향을 많이 받는다. 40대-50대에서 잘 보이고, 홀몬치료를 받는 여성에서도 보일 수 있다. 더 낮은 연령에서는 드물다.
단순낭종
- 무에코
- 균질함
- 둥글거나 타원형
- 주위와 구분되는 명확한 경계
- 후방음영증가
- 누를때 형태가 변하고, 통증이 없다.
- 도플러검사에서 혈관 없슴
복합낭종
- 경계가 덜 명확하다.
- 회색~검은색
- 지저분한 경계
진찰에서는 낭종과 종양을 구별하기 힘들다. 초음파 혹은 FNA로 정확한 진단을 얻어야한다. FNA시 얻어진 액체는 대개 붉거나 연한 연두색의 액체이다. 배액하고 나면 대개 껍데기도 저절로 없어지는 경우가 많다.
악성의 가능성이 적기 때문에 채취한 액으로 반드시 세포검사를 해야하는 것은 아니다. 하지만, 혈액이 나오거나, 채취 후에도 덩어리 혹은 껍데기가 계속 남아있다면, 반드시 세포학적 검사와 조직검사로 악성종괴가 아닌지 확인해야 한다.
배액 후 4-6주 뒤에 다시 확인하여 재발하지 않았는지 확인해야 한다.
Malignant
Breast feeding
Breast pain
Breast pain is any discomfort or pain in the breast. Considerations There are many possible causes for breast pain. For example, hormone level changes from menstruation or pregnancy often cause breast tenderness. Some amount of swelling and tenderness just before your period is normal.
Although many women who have pain in one or both breasts may fear breast cancer, breast pain is NOT a common symptom of cancer.
Causes Some amount of breast tenderness is normal. The discomfort may be caused by hormonal changes due to:
Menopause (unless a woman is taking hormone replacement therapy) Menstruation and premenstrual syndrome (PMS) Pregnancy – breast tenderness tends to be more common during the first trimester and in women who become pregnant at a young age Puberty in both girls and boys Soon after childbirth, your breasts may become swollen with milk. This can be very painful. If you also have an area of redness, call your health care provider. Breastfeeding itself may also cause breast pain.
Fibrocystic breast changes are also a common cause of breast pain. Fibrocystic breast tissue contains lumps that tend to be more tender just before your menstrual period.
Certain medications may also cause breast pain, including digitalis preparations, methyldopa (Aldomet), spironolactone (Aldactone), certain diuretics, Anadrol, and chlorpromazine.
Shingles can lead to pain in the breast if the painful blistering rash appears on the skin over one of your breasts.
Home Care If you have painful breasts, the following may help:
Take medication such as acetaminophen or ibuprofen Use heat or ice on the breast Wear a well-fitting bra that supports your breasts Although some women believe that reducing the amount of fat, caffeine, or chocolate in their diet helps with their symptoms, there is no good evidence that this helps. Vitamine E, thiamine, magnesium, and evening primrose oil are not harmful, but in most studies they have not shown any benefit. Before taking any medication or supplement, be sure to talk with your health care provider.
Certain birth control pills may help relieve breast pain. Ask your health care provider if this therapy is right for you.
When to Contact a Medical Professional Call your health care provider if you have:
Bloody or clear discharge from your nipple Given birth within the last week and your breasts are swollen or hard Noticed a new lump with the pain that does not go away after your menstrual period Persistent, unexplained breast pain Signs of a breast infection, including local redness, pus, or fever








